当前位置:首页 > 新闻动态 > 健康园地

顽固性恶心呕吐原来是这种怪病,乐陵市人民医院神经内科成功诊断一例罕见的视神经脊髓炎谱系疾病

发布时间:2025-05-30人气:601

近日,36岁的王女士因“反复剧烈恶心呕吐1周”饱受折磨,辗转于各医院就诊诊治,但是迟迟未找到病因和有效的治疗方式,在我院消化内科住院检查后排除消化系统病变,症状仍未见明显好转,经神经内科会诊转入神经内科,神经内科团队仔细询问病史、认真查体,结合起病形式、症状、辅助检查,确诊为罕见的视神经脊髓炎谱系疾病——极后区综合征,并及时给予针对性药物治疗后,患者症状明显好转出院。

图片

图片
视神经脊髓炎谱系疾病

视神经脊髓炎谱系疾病(NMOSD)是一种自身免疫性中枢神经系统脱髓鞘疾病,发病机制主要与水通道蛋白4(AQP4)抗体相关,是不同于多发性硬化(mMS)的独立疾病实体。顾名思义,这种疾病主要累及视神经和脊髓,还可以累及延髓极后区、脑干、间脑和大脑等,表现为不同的综合征,可出现顽固性呃逆、恶心、呕吐、意识水平下降、认知功能下降等表现,复发率和致残率比较高。流行病学调查显示,我国视神经脊髓炎谱系疾病发病率约0.278/10万,好发于青壮年,女性居多,亚洲人群高于西方人群,超过70%的患者在首次发作时被诊断为其他疾病,如特发性视神经炎、多发性硬化、胃肠道疾病及抑郁症等,首次发作到确立NMOSD诊断的平均时间间隔为2.4±4.9年。

治疗分为急性期治疗和缓解期治疗。急性期治疗包括激素、静脉注射大剂量免疫球蛋白和血浆置换;缓解期治疗包括小剂量激素维持治疗、硫唑嘌呤、吗替麦考酚酯、利妥昔单抗等。免疫抑制剂可能降低复发风险,复发患者通常应接受长期免疫治疗,而初次发作者是否需要长期免疫调节治疗需要根据患者受累部位、病情轻重、抗体滴度和阳性持续时间等综合评估。

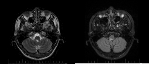
图片

头颅MR平扫+增强:右侧延髓背侧见小片状长T1及长T2信号,弥散像未见信号明显增强,增强后无强化。

图片

王女士以少见的延髓极后区受累导致的呕吐为首发症状,临床上罕见且极易误诊漏诊。神经内科团队根据临床经验和检查结果在最短时间作出诊断、给予治疗,缓解了王女士的不适,及时阻止了病情进展。

特别提醒:一旦患者出现顽固性恶心、呕吐、呃逆症状,记得要请神经内科医生会诊,NMOSD容易误诊或漏诊,一旦发现需要及时就诊治疗,以预防更严重的症状出现。




科室简介



乐陵市人民医院神经内科作为山东省县域临床重点专科,分为脑卒中中心、神经电生理、睡眠中心、神经心理和痴呆、头痛眩晕5个亚专科,拥有肌电图室、脑电图室、视频脑电室、眩晕检查室、经颅多普勒室、神经心理检查室。可独立开展常规及动态视频脑电图、肌电图、诱发电位、无创经颅血管多普勒检查、发泡实验、微栓子监测、药物基因检测等多项检查。神经内科病种齐全,达到神经内科疾病基本全面覆盖。

咨询电话:0534-6779150、6779160

鲍丽:13465183007

王俊荣:13869268261

李秀娟:15963383222